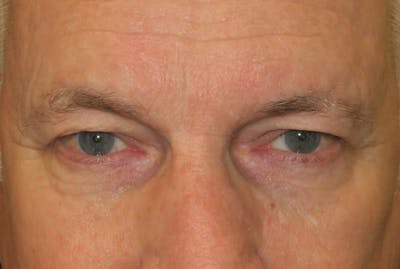
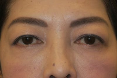
Cosmetic & Reconstructive
61-year-old Caucasian female. She complained of not being able to get her right eye open enough to see and did not like the way her upper eyelids looked. Procedures: right upper eyelid ptosis repair (internal), bilateral upper eyelid blepharoplasty. Timeline: 7 weeks after surgery. Surgeon: Caroline Vargason, MD PhD








































