-
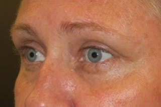
Upper Blepharoplasty (Upper Eyelid Surgery)
Reconstructive & Cosmetic
42-year-old Caucasian female. She complained of seeing a shadow in her side vision, having a headache from lifting her eyebrows all day at work, unable to have lashes done due to skin sitting on the lashes, and unable to wear eye makeup because it smudges off.
Procedures: bilateral upper eyelid blepharoplasty (right cosmetic), left internal browplasty (cosmetic).
Timeline: 9 weeks after surgery.
Surgeon: Caroline Vargason, MD PhD



































