-
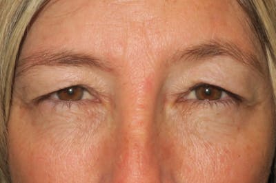
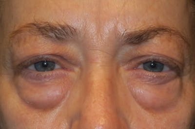
Upper Blepharoplasty (Upper Eyelid Surgery)
Reconstructive & Cosmetic
55-year-old Caucasian female. She complained of heavy feeling eyelids all the time, on the right more than the left. She has needed to have differently curved lash extensions applied due to the upper eyelid hooding.
Procedures: right upper eyelid ptosis repair (internal), cosmetic bilateral upper eyelid blepharoplasty.
Timeline: 4 months after procedure.
Surgeon: Caroline Vargason, MD PhD



































